마음 편한 병원, 좋은 병원
무삭제 라미네이트
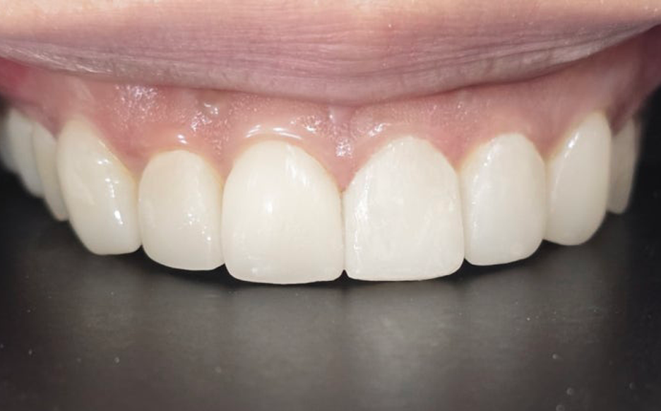
laminate
무삭제 라미네이트
무삭제 라미네이트는 기존의 치아를 거의 깎지 않거나 전혀 깎지 않고 부착하는 심미 치과 치료입니다.
무삭제 라미네이트는 말 그대로 치아 삭제 없이 라미네이트를 붙이는 방식입니다.



사진을 좌우로 밀어 치료 전후를 확인해보세요!
laminate
이런 분들에게 추천합니다!
치아가 고르고 형태 변화 없이 색상만 개선하고 싶으신 분
미백 효과를 오래 유지하고 싶으신 분
치아 삭제 없이 자연치 보존을 원하시는 분
미스코리아 서울 심사위원
미스코리아 선발대회 심사위원으로 활동한
원장이 직접 디자인, 시술하는 프리미엄 라미네이트
진료시간 안내
| 평 일 | AM 10:00 ~ PM 07:00 |
| 수요일 | AM 10:00 ~ PM 08:00 |
| 토요일 | AM 10:00 ~ PM 02:00 |
| 공휴일 | AM 10:00 ~ PM 02:00 |
| 점심시간 | PM 01:00 ~ PM 02:00 |
대표자명 : 최영준 ㅣ 사업자등록번호 :501-95-59000 ㅣ 연락처:02-797-7784
COPYRIGHT © 유펜아이비치과 ALL RIGHTS RESERVED.